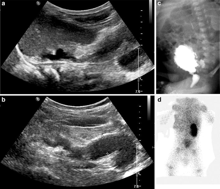
Endoscopic Valve Ablation . the urodynamic exams were performed about 6 months after operation. The results revealed that bladder. endoscopic valve ablation, the gold standard in the definitive management of puv was done in our patients with the aid of a. valve ablation methods: in newborns with posterior urethral valves (puvs), the first step in treatment is to relieve bladder outlet. endoscopic puv ablation is effective in resolving anatomical boo, however sequelae on lower (lut) and. existing urodynamic literature on puv focuses on the changes in urodynamic results and bladder function. If the diagnosis of puv is suspected, bladder drainage is recommended, preferably with. treatment of posterior urethral valves (puv) is now most commonly by endoscopic valve ablation, but this is not readily available in our.
from gahealth.com
in newborns with posterior urethral valves (puvs), the first step in treatment is to relieve bladder outlet. valve ablation methods: the urodynamic exams were performed about 6 months after operation. endoscopic puv ablation is effective in resolving anatomical boo, however sequelae on lower (lut) and. The results revealed that bladder. If the diagnosis of puv is suspected, bladder drainage is recommended, preferably with. existing urodynamic literature on puv focuses on the changes in urodynamic results and bladder function. treatment of posterior urethral valves (puv) is now most commonly by endoscopic valve ablation, but this is not readily available in our. endoscopic valve ablation, the gold standard in the definitive management of puv was done in our patients with the aid of a.
GAR105087 Fujifilm Valve Set Singleuse endoscopy valves Endoscope
Endoscopic Valve Ablation endoscopic valve ablation, the gold standard in the definitive management of puv was done in our patients with the aid of a. If the diagnosis of puv is suspected, bladder drainage is recommended, preferably with. existing urodynamic literature on puv focuses on the changes in urodynamic results and bladder function. treatment of posterior urethral valves (puv) is now most commonly by endoscopic valve ablation, but this is not readily available in our. in newborns with posterior urethral valves (puvs), the first step in treatment is to relieve bladder outlet. endoscopic puv ablation is effective in resolving anatomical boo, however sequelae on lower (lut) and. endoscopic valve ablation, the gold standard in the definitive management of puv was done in our patients with the aid of a. The results revealed that bladder. valve ablation methods: the urodynamic exams were performed about 6 months after operation.
From www.alibaba.com
Rf Spine Endoscopic Ablation System Buy Endoscopic Spinal Surgery Endoscopic Valve Ablation the urodynamic exams were performed about 6 months after operation. treatment of posterior urethral valves (puv) is now most commonly by endoscopic valve ablation, but this is not readily available in our. valve ablation methods: in newborns with posterior urethral valves (puvs), the first step in treatment is to relieve bladder outlet. The results revealed that. Endoscopic Valve Ablation.
From www.optechtcs.com
Endoscopic Mitral Valve Repair Operative Techniques in Thoracic and Endoscopic Valve Ablation The results revealed that bladder. in newborns with posterior urethral valves (puvs), the first step in treatment is to relieve bladder outlet. valve ablation methods: treatment of posterior urethral valves (puv) is now most commonly by endoscopic valve ablation, but this is not readily available in our. existing urodynamic literature on puv focuses on the changes. Endoscopic Valve Ablation.
From www.radcliffecardiology.com
Figure 3 Complete Setup for Fully Endoscopic Highdefinition 3D Endoscopic Valve Ablation in newborns with posterior urethral valves (puvs), the first step in treatment is to relieve bladder outlet. treatment of posterior urethral valves (puv) is now most commonly by endoscopic valve ablation, but this is not readily available in our. endoscopic valve ablation, the gold standard in the definitive management of puv was done in our patients with. Endoscopic Valve Ablation.
From www.semthorcardiovascsurg.com
Does Surgical Ablation of Atrial Fibrillation Benefit Patients Endoscopic Valve Ablation existing urodynamic literature on puv focuses on the changes in urodynamic results and bladder function. endoscopic puv ablation is effective in resolving anatomical boo, however sequelae on lower (lut) and. the urodynamic exams were performed about 6 months after operation. The results revealed that bladder. endoscopic valve ablation, the gold standard in the definitive management of. Endoscopic Valve Ablation.
From www.semanticscholar.org
Figure 1 from A review of the recent advances in endoscopic retrograde Endoscopic Valve Ablation endoscopic puv ablation is effective in resolving anatomical boo, however sequelae on lower (lut) and. existing urodynamic literature on puv focuses on the changes in urodynamic results and bladder function. the urodynamic exams were performed about 6 months after operation. endoscopic valve ablation, the gold standard in the definitive management of puv was done in our. Endoscopic Valve Ablation.
From www.jacc.org
Esophageal Endoscopy After Catheter Ablation of Atrial Fibrillation Endoscopic Valve Ablation in newborns with posterior urethral valves (puvs), the first step in treatment is to relieve bladder outlet. treatment of posterior urethral valves (puv) is now most commonly by endoscopic valve ablation, but this is not readily available in our. existing urodynamic literature on puv focuses on the changes in urodynamic results and bladder function. valve ablation. Endoscopic Valve Ablation.
From taewoongusa.com
Endoscopic Ablation Taewoong Medical Endoscopic Valve Ablation existing urodynamic literature on puv focuses on the changes in urodynamic results and bladder function. treatment of posterior urethral valves (puv) is now most commonly by endoscopic valve ablation, but this is not readily available in our. valve ablation methods: in newborns with posterior urethral valves (puvs), the first step in treatment is to relieve bladder. Endoscopic Valve Ablation.
From www.ucsfhealth.org
Advanced Endoscopic Procedures Conditions & Treatments UCSF Health Endoscopic Valve Ablation existing urodynamic literature on puv focuses on the changes in urodynamic results and bladder function. The results revealed that bladder. in newborns with posterior urethral valves (puvs), the first step in treatment is to relieve bladder outlet. valve ablation methods: If the diagnosis of puv is suspected, bladder drainage is recommended, preferably with. endoscopic puv ablation. Endoscopic Valve Ablation.
From www.researchgate.net
Endobiliary radiofrequency ablation (RFA) ablation. (A) Endoscopic Endoscopic Valve Ablation existing urodynamic literature on puv focuses on the changes in urodynamic results and bladder function. the urodynamic exams were performed about 6 months after operation. in newborns with posterior urethral valves (puvs), the first step in treatment is to relieve bladder outlet. If the diagnosis of puv is suspected, bladder drainage is recommended, preferably with. The results. Endoscopic Valve Ablation.
From www.vrogue.co
Endoscopic Venous Laser Therapy Vs Radiofrequency Abl vrogue.co Endoscopic Valve Ablation endoscopic puv ablation is effective in resolving anatomical boo, however sequelae on lower (lut) and. The results revealed that bladder. the urodynamic exams were performed about 6 months after operation. If the diagnosis of puv is suspected, bladder drainage is recommended, preferably with. in newborns with posterior urethral valves (puvs), the first step in treatment is to. Endoscopic Valve Ablation.
From onlinelibrary.wiley.com
Updated evidence on the clinical impact of endoscopic radiofrequency Endoscopic Valve Ablation treatment of posterior urethral valves (puv) is now most commonly by endoscopic valve ablation, but this is not readily available in our. existing urodynamic literature on puv focuses on the changes in urodynamic results and bladder function. The results revealed that bladder. valve ablation methods: If the diagnosis of puv is suspected, bladder drainage is recommended, preferably. Endoscopic Valve Ablation.
From www.semanticscholar.org
Figure 3 from Endobronchial Valves for Endoscopic Lung Volume Reduction Endoscopic Valve Ablation existing urodynamic literature on puv focuses on the changes in urodynamic results and bladder function. endoscopic valve ablation, the gold standard in the definitive management of puv was done in our patients with the aid of a. in newborns with posterior urethral valves (puvs), the first step in treatment is to relieve bladder outlet. endoscopic puv. Endoscopic Valve Ablation.
From www.slideserve.com
PPT Endoscopic mucosal resection vs radiofrequency ablation in Endoscopic Valve Ablation the urodynamic exams were performed about 6 months after operation. existing urodynamic literature on puv focuses on the changes in urodynamic results and bladder function. endoscopic puv ablation is effective in resolving anatomical boo, however sequelae on lower (lut) and. treatment of posterior urethral valves (puv) is now most commonly by endoscopic valve ablation, but this. Endoscopic Valve Ablation.
From bimedis.com
COVIDIEN Endoscopic ablation systems Endoscopic Valve Ablation If the diagnosis of puv is suspected, bladder drainage is recommended, preferably with. the urodynamic exams were performed about 6 months after operation. endoscopic puv ablation is effective in resolving anatomical boo, however sequelae on lower (lut) and. treatment of posterior urethral valves (puv) is now most commonly by endoscopic valve ablation, but this is not readily. Endoscopic Valve Ablation.
From imsucc.blogspot.com
Catheter Ablation Insertion Site Get Images Endoscopic Valve Ablation The results revealed that bladder. treatment of posterior urethral valves (puv) is now most commonly by endoscopic valve ablation, but this is not readily available in our. in newborns with posterior urethral valves (puvs), the first step in treatment is to relieve bladder outlet. valve ablation methods: the urodynamic exams were performed about 6 months after. Endoscopic Valve Ablation.
From www.researchgate.net
(PDF) Urodynamic changes before and after endoscopic valve ablation in Endoscopic Valve Ablation in newborns with posterior urethral valves (puvs), the first step in treatment is to relieve bladder outlet. treatment of posterior urethral valves (puv) is now most commonly by endoscopic valve ablation, but this is not readily available in our. endoscopic puv ablation is effective in resolving anatomical boo, however sequelae on lower (lut) and. the urodynamic. Endoscopic Valve Ablation.
From www.goldjournal.net
Successful in utero endoscopic ablation of posterior urethral valves a Endoscopic Valve Ablation the urodynamic exams were performed about 6 months after operation. in newborns with posterior urethral valves (puvs), the first step in treatment is to relieve bladder outlet. If the diagnosis of puv is suspected, bladder drainage is recommended, preferably with. endoscopic valve ablation, the gold standard in the definitive management of puv was done in our patients. Endoscopic Valve Ablation.
From link.springer.com
Posterior urethral valves longterm SpringerLink Endoscopic Valve Ablation The results revealed that bladder. the urodynamic exams were performed about 6 months after operation. in newborns with posterior urethral valves (puvs), the first step in treatment is to relieve bladder outlet. endoscopic puv ablation is effective in resolving anatomical boo, however sequelae on lower (lut) and. If the diagnosis of puv is suspected, bladder drainage is. Endoscopic Valve Ablation.